
国家三级甲等综合医院

全国最佳百姓放心示范医院

爱婴医院

023-56805001/023-56594704
8月8日上午,已经出院的11岁女孩陈某家属将绣有“巧遇神医施妙手,医术精湛传四方”的锦旗送到了奉节县人民医院外二科医生办公室,并再三感谢蒋永祥博士(重庆医科大学附二院神经外科下派专家)、杜洪澎教授(山东滨州医学院神经外科帮扶专家)、外二科主任丁晏及全科医护人员的精心治疗及护理。
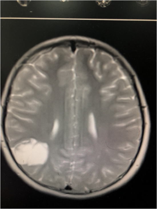
患儿陈某于7月22日因癫痫发作入住奉节县人民医院外二科,经检查发现患儿右顶叶生长了一个颅内肿瘤,肿瘤性质考虑低度恶性脑胶质瘤。对年仅11岁的孩子来说,无疑是残忍至极。这个巨大肿瘤就像一块巨型石头重重的压在女孩一家心上,懂事的女孩没有哭泣,然而家人却泪如雨下。
根据患儿情况,蒋永祥博士,杜洪澎教授及科主任丁晏和主管医师缪杰再三讨论,由于肿瘤位于重要功能区附近,术中稍有差池就有可能使患儿留下终身残疾,但是不充分切除肿瘤又会使肿瘤复发的机会增加。
做好精心准备及术中预案后,手术在麻醉科、超声科、重症医学科的支持与配合下顺利完全切除右顶叶脑胶质瘤切除术,术后患儿恢复良好,未遗留任何神经功能障碍,牵制着女孩命运的肿瘤终于被完整切下,女孩于8月8日出院。走的时候小女孩开心地说,她终于可以像其他正常女孩一样,做自己想做的事了。(作者:缪杰 编辑:王令军)




